泌尿器、生殖器 : 尿管結石
case
ご注意ください
手術中の写真が掲載されていますので苦手な方はご遠慮ください。

尿管は体の背中側を通っています。
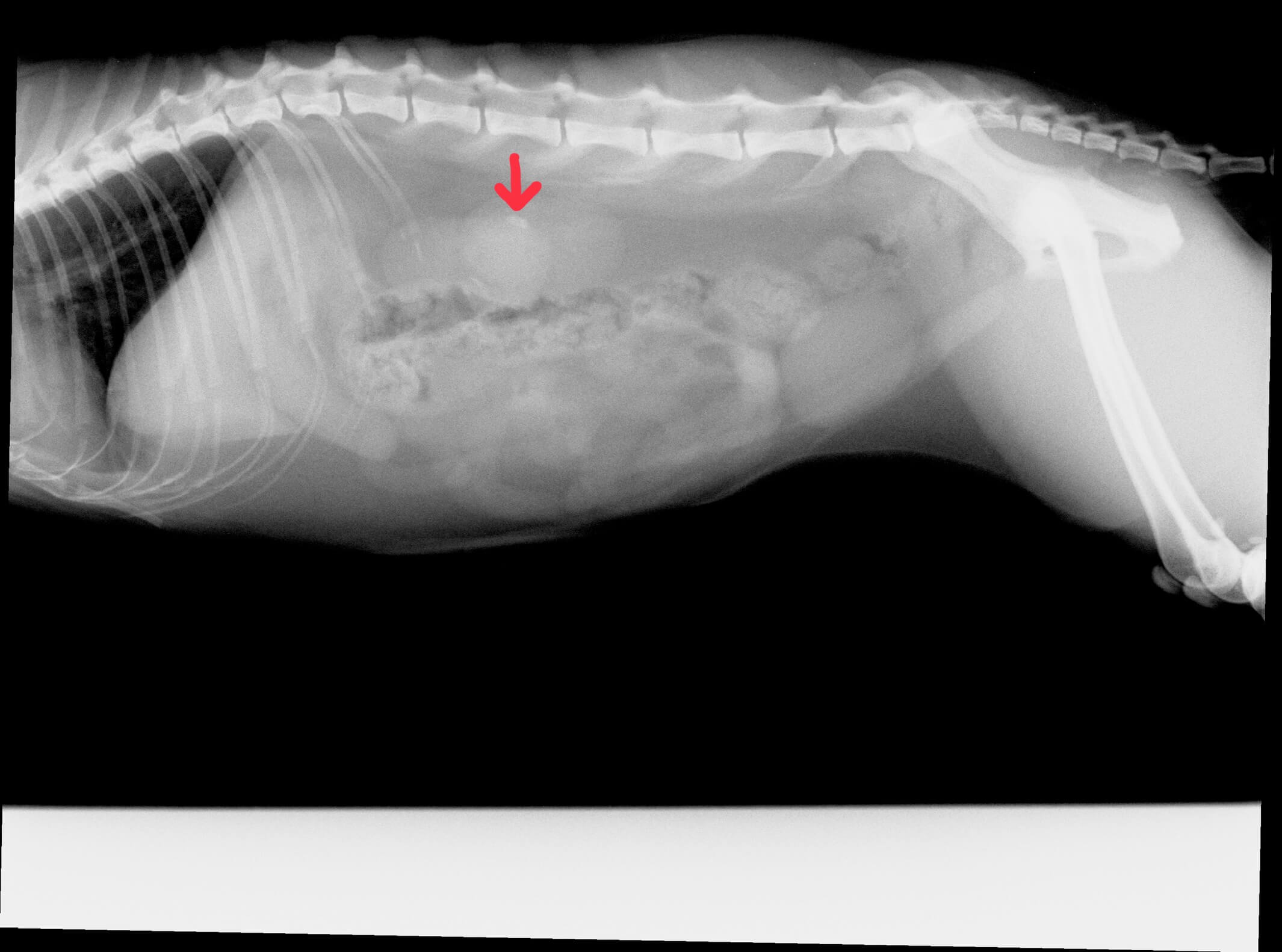
結石はレントゲン検査で白く見えます。 (矢印部)
結石はレントゲン検査で白く見えます。 (矢印部)

血管の背側に尿管が見えます。(矢印部)
結石が詰まっているため拡張しています。
結石が詰まっているため拡張しています。

結石を除去して 尿管を縫合しているところです。

手術後のレントゲン画像です。
手術前に見られた結石が消えています。 (矢印部)
手術前に見られた結石が消えています。 (矢印部)
腎臓で作られた尿を膀胱に運ぶための管を尿管といいます。
この管は数ミリ程度ととても細いため、小さな結石でも詰まってしまうことがあります。
詰まってしまうと尿が流れなくなり、膀胱の破裂や結果的に腎臓に障害が出ることが多いため、
場合によっては手術で取り除きます。
レントゲン検査やエコー検査、造影検査で病変部を見つけます。
(場合によっては外部検査病院でCTが必要な場合もあります。)