泌尿器、生殖器 : 膀胱結石
case
ご注意ください
手術中の写真が掲載されていますので苦手な方はご遠慮ください。

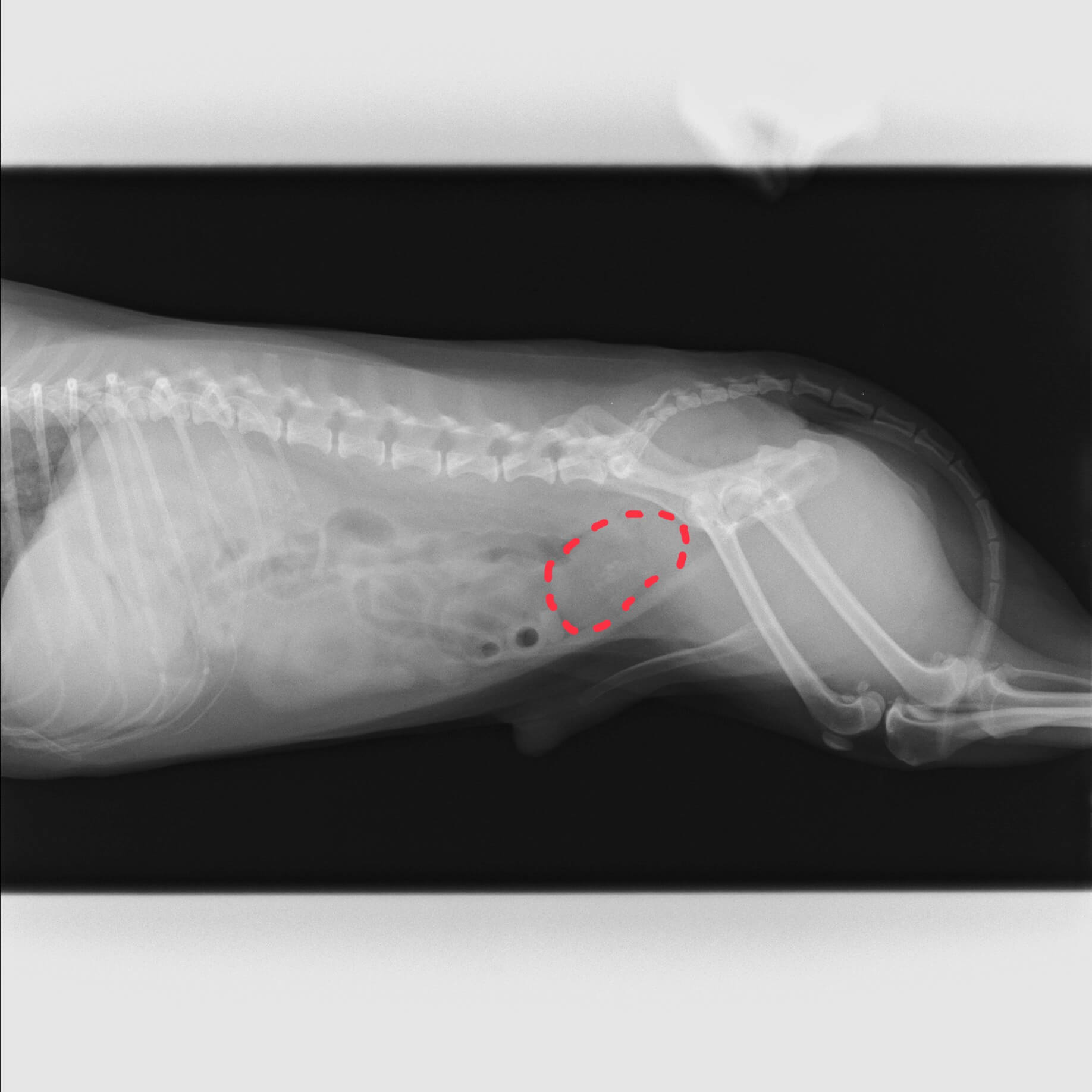
手術前のレントゲン画像です。
点線部で囲っているのが膀胱で、 中心に見える白い点が全て結石です。
点線部で囲っているのが膀胱で、 中心に見える白い点が全て結石です。

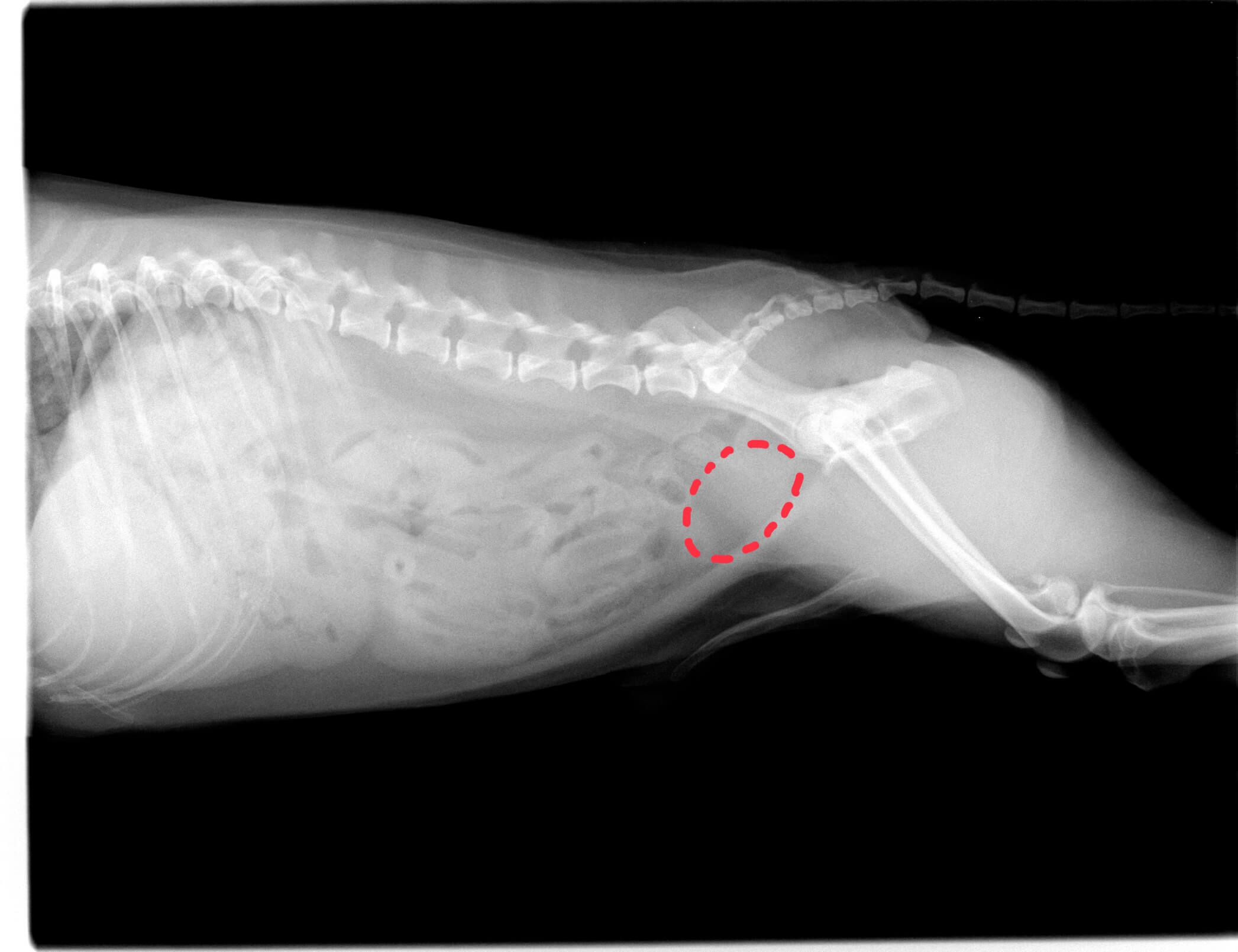
手術後のレントゲン画像です。
膀胱内の結石が取り除かれています。
膀胱内の結石が取り除かれています。
膀胱内の細菌感染、酸アルカリ平衡の変化、飲水量の低下などが原因で
膀胱内に結石ができてしまうことがあります。
結石の種類はさまざまで、ストラバイト(リン酸アンモニウムマグネシウム)のように
食餌の変更で溶ける可能性があるものもあれば、
シュウ酸カルシウムのように基本的には手術による摘出が必要なものもあります。
尿検査で結石の種類が分かることもあるため、
当院では症状によりレントゲン検査やエコー検査と合わせてご提案させていただいております。